齒顎矯正
暴牙矯正
實例照片僅為資訊介紹及分享,效果可能因個人體質及保養方式不同而有所差異。
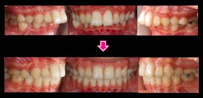
案例一

青少年亂牙初期矯正
實例照片僅為資訊介紹及分享,效果可能因個人體質及保養方式不同而有所差異。
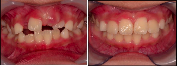
案例二

前牙擁擠錯咬矯正
實例照片僅為資訊介紹及分享,效果可能因個人體質及保養方式不同而有所差異。
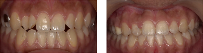
案例三

實例照片僅為資訊介紹及分享,效果可能因個人體質及保養方式不同而有所差異。
實例照片僅為資訊介紹及分享,效果可能因個人體質及保養方式不同而有所差異。
實例照片僅為資訊介紹及分享,效果可能因個人體質及保養方式不同而有所差異。