人工植牙
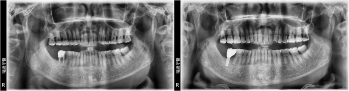
單顆缺牙人工植牙
病患莊先生,35年次,退休人員
- 主訴:右下後牙咬東西時劇痛
- 口腔檢查: 右下牙齒斷裂
- 治療計劃: 將右下後牙拔除後,等待三個月癒合期,進行人工植牙, 三個月後接出假牙基座印模製作正式假牙!
實例照片僅為資訊介紹及分享,效果可能因個人體質及保養方式不同而有所差異。

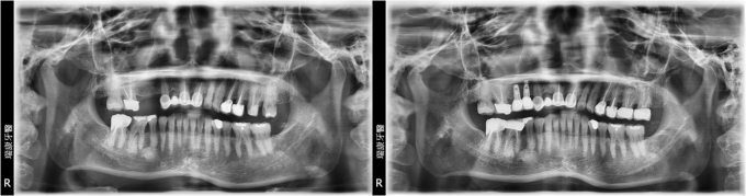
上顎多顆缺牙重建
病患蘇小姐,65年次,上班族
- 主訴:想要重建右上缺牙區
- 治療計劃: 安排精密3D電腦斷層評估後,進行人工植牙, 三個月後進行APF增加角化黏膜 後續接出假牙基座印模製作正式假牙!
PS:患者表示:醫師很細心,解說詳細!
實例照片僅為資訊介紹及分享,效果可能因個人體質及保養方式不同而有所差異。

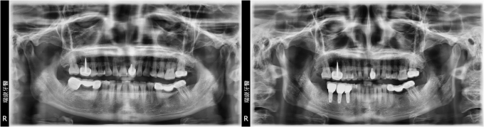
下顎多顆缺牙重建
病患王先生,57年次,上班族
- 主訴:想要重建右下缺牙區
- 治療計劃: 安排精密3D電腦斷層評估後,進行人工植牙, 三個月後接出假牙基座印模製作正式假牙!
實例照片僅為資訊介紹及分享,效果可能因個人體質及保養方式不同而有所差異。

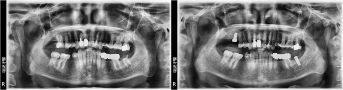
下顎多顆缺牙重建
病患呂小姐,65年次,家庭主婦
- 主訴:右下牙橋搖晃嚴重,想重建
- 治療計劃: 拔除嚴重牙周病之牙齒,等待三個月癒合期, 安排精密3D電腦斷層評估後,進行人工植牙, 三個月後接出假牙基座印模製作正式假牙!
實例照片僅為資訊介紹及分享,效果可能因個人體質及保養方式不同而有所差異。

上顎竇提升補骨合併人工植牙
病患彭先生,36年次,上班族
- 主訴:右上及左下牙齒斷裂
- 治療計劃: 拔牙後等待三個月癒合期 安排精密3D電腦斷層評估後, 進行上顎竇提升術補骨合併人工植牙, 三個月後接出假牙基座印模製作正式假牙!
實例照片僅為資訊介紹及分享,效果可能因個人體質及保養方式不同而有所差異。
